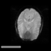
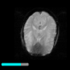
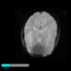
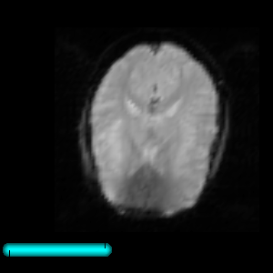
Results of VisIt Regression Test -
databases/ANALYZE
Test Case
Errors
Images
%Diffs
Maximum
Baseline
Current
Diff Map
ANALYZE00
0.00
0.00
ANALYZE01
0.00
0.00
ANALYZE02
0.00
0.00
ANALYZE03
0.00
0.00
ANALYZE04
0.00
0.00
ANALYZE05
0.00
0.00
ANALYZE06
0.00
0.00
ANALYZE07
0.00
0.00
Final Return Code: 111